Imagen 1



Antes...y Despues!!



En Dental Baigorria, nos enorgullecemos de haber transformado la vida de miles de pacientes a traves de nuestros tratamientos odontológicos innovadores.

Nuestros casos de éxito son la prueba de la dedicacion y experiencia en la odontología.

Explora nuestros resultados y descubre como podemos ayudarte a lograr la sonrisa que siempre has querido


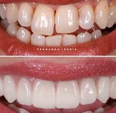
Carillas


Imagen 1

Ayudar a conseguir una sonrisa ideal para nuestra paciente requirió carillas de porcelana, después de hacer una revisión general y asegurarnos que fuera la mejor opción.


Diastemas


Imagen 1

Cerrando los diastemas de forma precisa y personalizada, obtenemos una sonrisa armoniosa, mejorando tanto la estética como la funcionaliad con nuestro tratamiento personalizado


Ortodoncia


Imagen 1

Nuestro tratamiento de ortodoncia corrige la alineacion dental, transformando la sonrisa mediante un proceso personalizado para lograr un resultado estético y funcional perfecto.


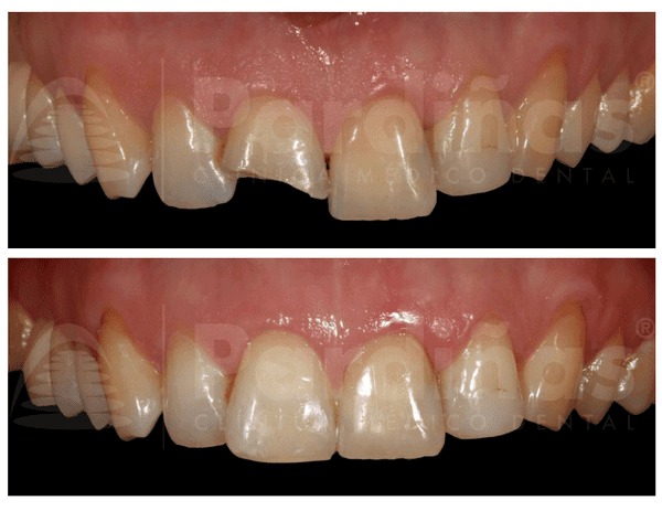
Reconstruccion angular


Imagen 1

Recupera la forma y función de los dientes. Nuestra reconstruccion angular restaura los angulos dentales para una sonrisa natural, estética y completamente funcional.


Implantes


Imagen 1

Ayudar a conseguir una sonrisa ideal para nuestra paciente requirió implantes, después de hacer una revisión general y asegurarnos que fuera la mejor opción.


Armonizacion orofacial


Imagen 1

En la odontología moderna, no solo nos preocupamos por la salud de sus dientes y encías, sino también por la armonía estética de todo su rostro.


Imagen 1
En la Clínica Dental Baigorria combinamos el mantenimiento de una excelente salud bucal con una práctica dental cosmética de primera clase.

Nos enorgullecemos de nuestra meticulosa artesanía y atención al detalle, nuestro ambiente familiar amigable, un estandar de limpieza sin concesiones y un nivel de élite de técnicas y equipos modernos que permiten a nuestros pacientes un nivel sofisticado de comodidad y confianza.

Una nueva experiencia dental para la provincia de Pontevedra!.

Clinica Baiona

Calle Ramón y Cajal 9 - 1 A,
Baiona (Pontevedra)

Clinica O Rosal

Calle Xulio Sesto bajo 15
O Rosal (Pontevedra)

+34 986 35 72 58

+34 689 365 259

dentalbaigorria@gmail.com